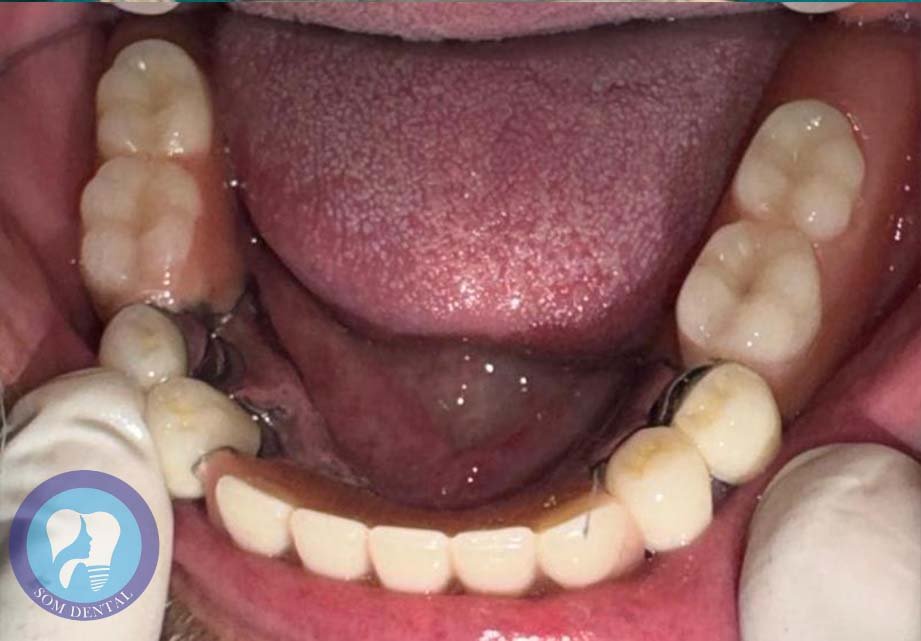
Cast Partial Dentures are a high-strength, lightweight, and comfortable option for replacing multiple missing teeth. They use a cobalt-chromium metal framework that fits securely around your natural teeth, offering excellent stability and function.
A Cast Partial Denture is a removable dental appliance designed to replace missing teeth while preserving the health of remaining natural teeth. The combination of metal framework and custom-made artificial teeth gives a natural, secure feel.
Metal framework resists fracture and lasts longer than acrylic dentures.
Slim, lightweight design makes it easier to adapt to.
Precision clasps hold onto natural teeth, improving confidence while talking and chewing.
Restores proper function, allowing you to enjoy a wider range of foods.
Prevents shifting or tilting of adjacent teeth.
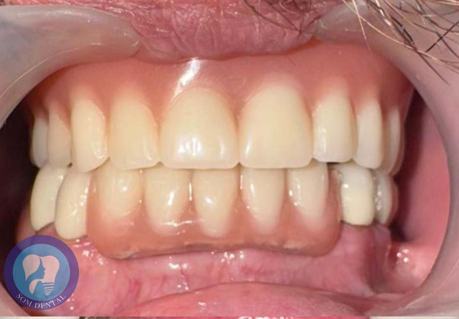
Can be designed with minimal visible metal for a natural smile.
Offers long-term value due to its strength and lifespan.
Ideal for patients who:
A Cast Partial Denture is a removable dental appliance designed to replace multiple missing teeth. It is anchored to the remaining natural teeth with metal clasps, providing stability and support.
Unlike complete dentures, which replace all teeth in a jaw, a Cast Partial Denture only replaces the missing teeth and is supported by the remaining natural teeth.
Yes, Cast Partial Dentures are designed to blend seamlessly with your natural teeth, both in shape and color.
Care involves regular cleaning with a soft brush and denture cleaner, avoiding hot water, and storing it in water when not in use. Regular dental check-ups are also important.
With proper care, a Cast Partial Denture can last several years. The metal framework is particularly durable.
Most patients find Cast Partial Dentures comfortable, as they are custom-made to fit the contours of your mouth. There might be an adjustment period after first getting them.
Yes, Cast Partial Dentures are designed to be easily removable by the patient for cleaning and maintenance.
If you have more questions, feel free to contact us or consult your dentist. We're here to help!