Fixed Dental Implant Treatments | Permanent Solution for Missing Teeth

Fixed Dental Implants

Fixed Dental Implants

Fixed Dental Implants are the most advanced and long-lasting solution for replacing missing teeth. Unlike removable dentures, fixed implants feel, function, and look like natural teeth—helping restore confidence, chewing strength, and oral health. Whether you need to replace one tooth, several teeth, or the full arch, fixed dental implant treatments offer strong, stable, and permanent results.

What Are Fixed Dental Implants?

Fixed dental implants are titanium or zirconia posts placed in the jawbone to act as artificial tooth roots.

These implants support permanent crowns, bridges, or full-arch prostheses, giving you teeth that stay firmly in place—no slipping, no clicking, and no daily removal.

Types of Fixed Implant Treatments

1

Single Tooth Implant

Replaces a single missing tooth without affecting neighbouring teeth.

Benefits: Natural look, strong bite, long-lasting solution.

2

Implant-Supported Bridge

Ideal for replacing multiple missing teeth in a row.

Benefits: Greater stability, bone preservation, no removable parts.

3

Full Arch Fixed Implants (All-on-4 / All-on-6)

A full set of permanent teeth supported by 4–6 implants in each jaw.

Benefits:
  • Immediate fixed teeth (in suitable cases)
  • Excellent stability
  • High chewing efficiency
  • Restores smile and facial support

Key Advantages of Fixed Dental Implants

Permanent & Stable

Feels like natural teeth with zero movement.

Superior Chewing Power

Eat all foods comfortably and confidently.

Enhanced Aesthetics

Custom-designed teeth for a natural smile.

Preserves Jawbone

Prevents bone loss and facial sagging.

Long-Term Investment

Implants can last decades with proper care.

Clear Speech

Eliminates denture-related speech problems.

No Removal Required

Fixed prosthesis stays 24/7 like real teeth.

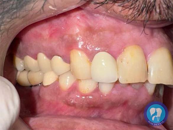
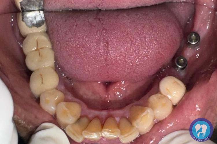
Gallery

Who Is a Good Candidate?

You may be suitable if you:

Have one or more missing teeth
Want a permanent, non-removable solution
Have healthy gums and adequate bone support
Do not want removable dentures
Are in good general health and maintain good oral hygiene

Contraindications for Fixed Dental Implants

Dental implants may not be recommended or may require special evaluation in the following situations:

1

Absolute Contraindications

  • Uncontrolled diabetes
  • Uncontrolled hypertension
  • Active cancer therapy (chemotherapy/radiation to jaw)
  • Severe bleeding disorders
  • Active, untreated gum infections
  • Drug abuse or alcoholism
2

Relative Contraindications

These require evaluation & stabilization before proceeding with implants:

  • Insufficient jawbone (may need grafting)
  • Heavy smoking
  • Bruxism (teeth grinding)
  • Autoimmune conditions or immunosuppression
  • Long-term steroid therapy
  • Poor oral hygiene or untreated dental disease
  • Pregnancy (implant surgery usually deferred)

A thorough clinical and radiographic evaluation helps determine the safest and most successful implant plan.

Care & Maintenance

Brush and floss implants like natural teeth
Use interdental brushes or water flossers around bridges
Professional cleaning every 6 months
Follow dentist's maintenance advice for long-term success

Why Choose Fixed Dental Implants?

Fixed implants are the gold standard for replacing missing teeth, offering unmatched stability, strength, comfort, and aesthetics.

They help restore confidence, improve health, and provide a lifelong solution for a beautiful, functional smile.